Cerec Crowns

Cerec Crowns

  • In Office - One Visit Crown
  • Least invasive way to strengthen teeth

  • Been used in our office since 2010
  • Over 2,500 placed

Cracked Tooth

Cerec Crowns

Crown Preparation

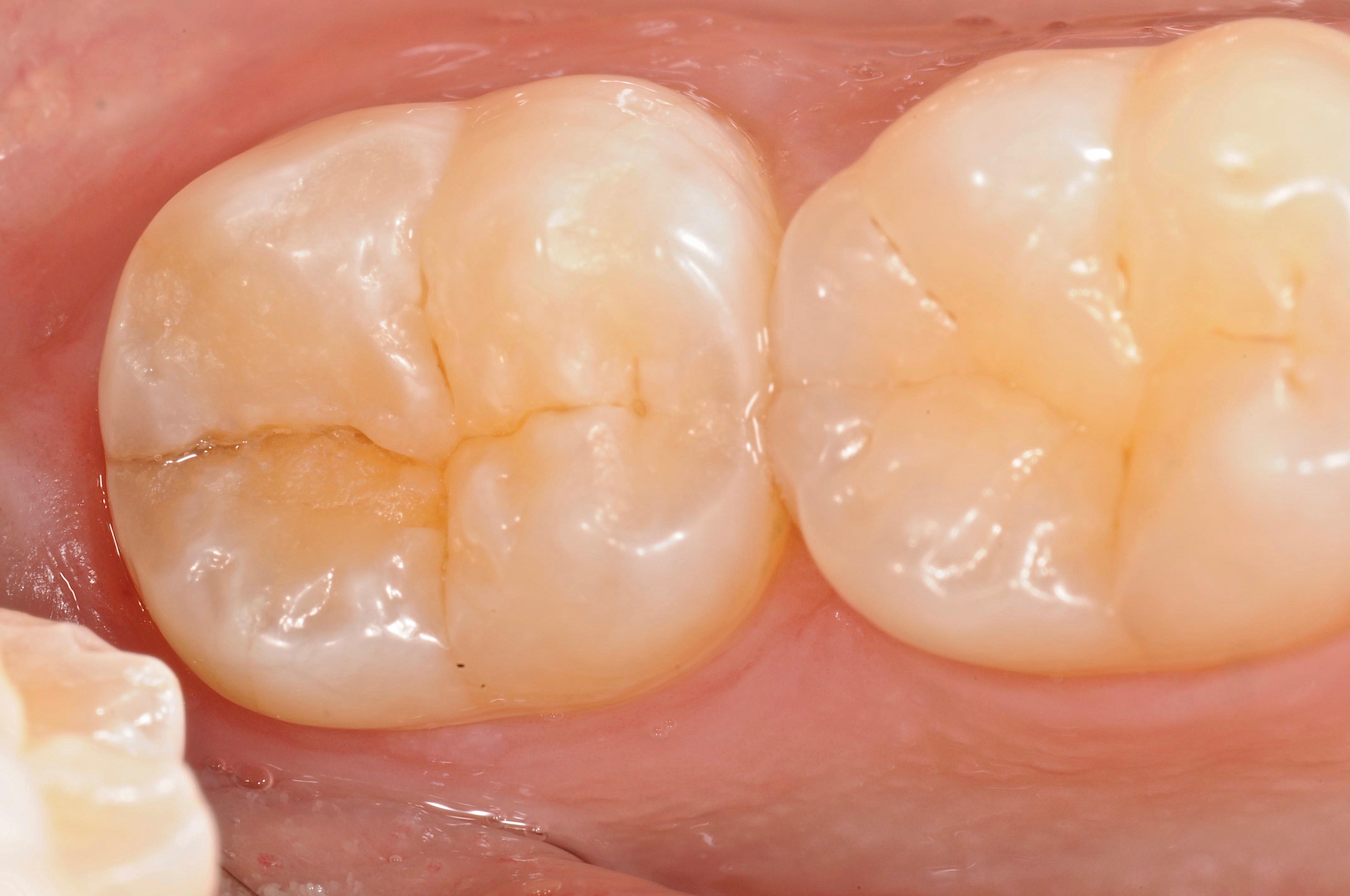
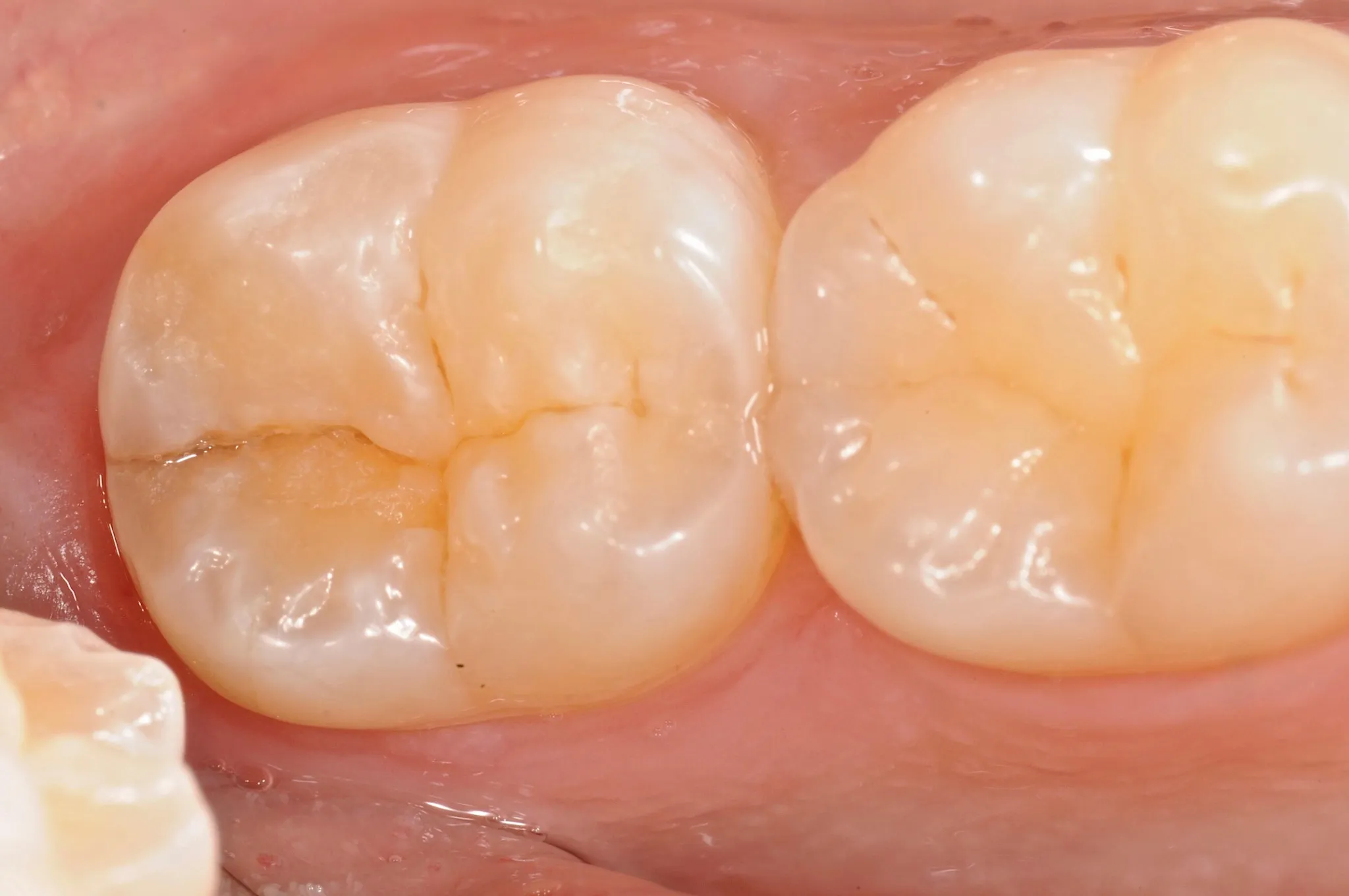
Cerec Crowns

One Visit CEREC Crown

Cerec Crowns

Advantages of CEREC crowns

  • The entire procedure can be completed within a few hours.
  • CEREC crowns are of very high quality. They are resistant to staining and are highly durable.
  • They are manufactured with a high degree of accuracy.
  • CEREC crowns offer excellent aesthetic properties.

Location

668 Homer Avenue, Palo Alto, CA 94301

Phone: (650) 324-8360

Email: [email protected]

  • MON - THU: 7:00 am - 5:00 pm
  • FRI: 7:00 am - 4:00 pm
  • SAT - SUN: Closed
Contact Us