Loss of tooth can severely damage one’s self-esteem as it inhibits them from producing a confident smile. Dr. Christopher Joy understands the challenge one has to suffer due to lost teeth and hence, he has dedicated his practice in providing ample services to restore the lost set of teeth using the latest advance in the field of Dentistry.
Dental implants help to replace the missing teeth. There are several factors that are likely to lead us to the dilemma of tooth loss, and a research has led us to understand that the factors are due to ignorance of proper oral health care.




Let’s understand the primary reasons for tooth loss:
Dental cavities. Cavities tend to grow on the surface of the enamel due to the accumulation of bacteria, plaque, and tartar. As cavities grow over time, it can weaken the roots of the teeth leading to breakage, and in extreme cases, it can lead to loss of the tooth.
Periodontal disease. Tooth loss can also occur when the patient starts to suffer from the extreme cases of the Periodontal disease. Periodontal disease is a severe gum disease of the mouth. As bacteria accumulate in the sides of the gums, it, in turn, degrades its health. Infected gums can ultimately fall off weakening the roots of the teeth.
Root Canal Infection. It starts by infecting the inner pulp of the teeth. As the infection grows it damages the teeth from the inside leading to complete destruction of the teeth. This leads to tooth fall.
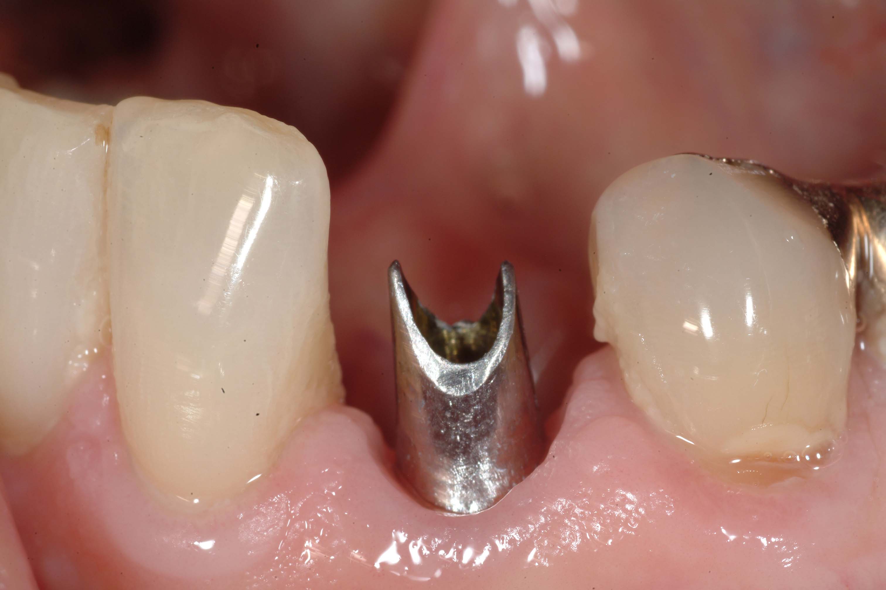
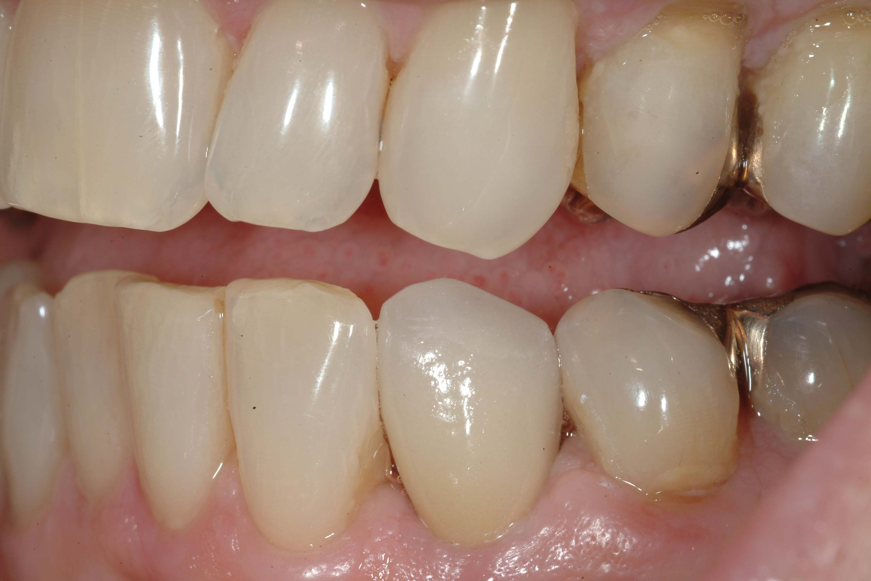
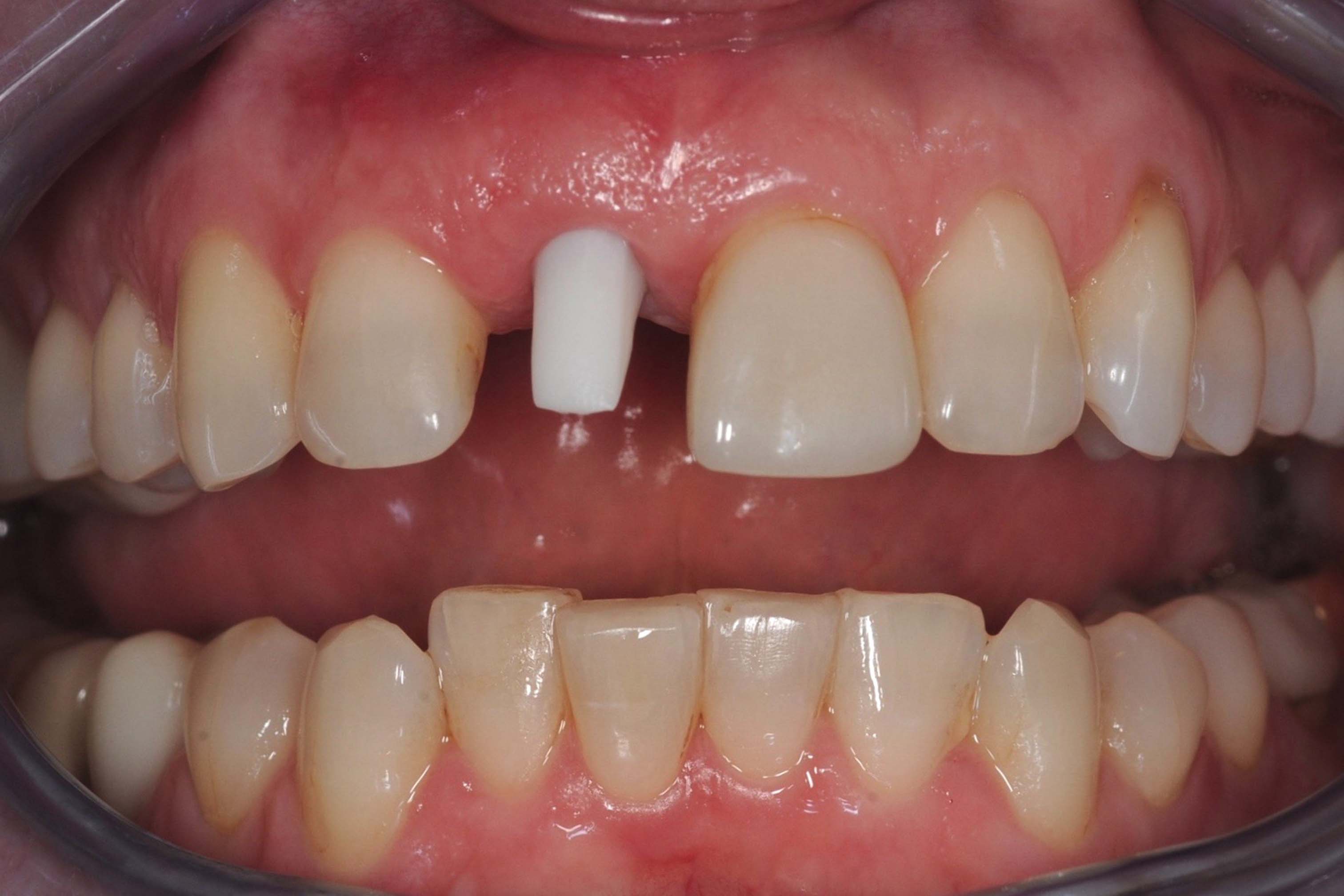
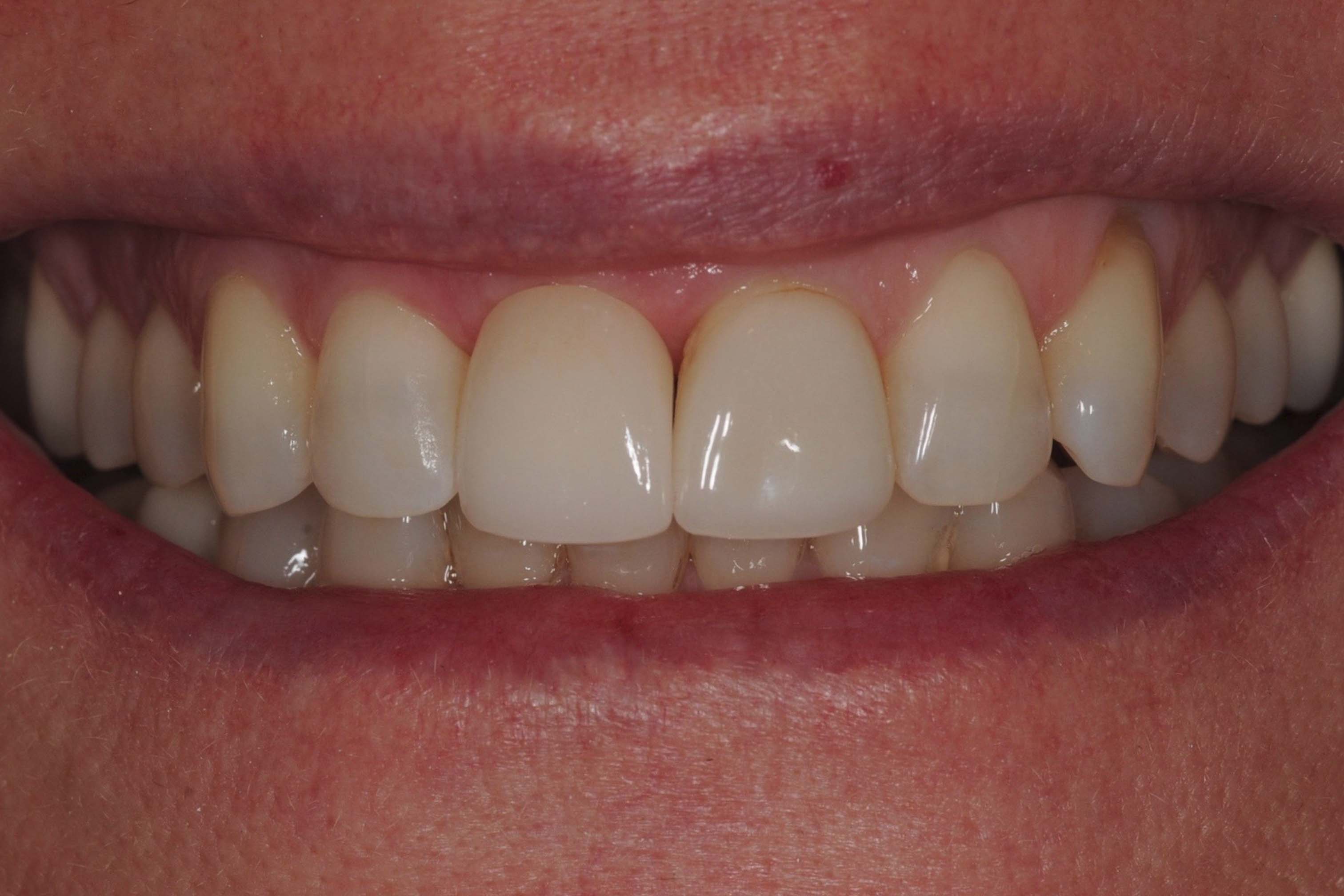
A dental implant will offer patients with an alternative solution to tooth loss by replacing the root with the help of an implant, by replacing the teeth with the help of a restoration such as crowns, and by providing an adhesive to hold them both in place with the help of an abutment.
Dental implants offer an easy-to-insert option to restore missing teeth. Our practice is capable of offering patients with same day tooth replacements as well.
The primary goal of providing implants is to provide an artificial yet natural looking fixture in replacement of a lost tooth. There are several advantages of dental implants, and here are a few:
Here is an outline of the procedure to get a dental implant: