Dental Implants

Dental Implants

Loss of tooth can severely damage one’s self-esteem as it inhibits them from producing a confident smile. Dr. Christopher Joy understands the challenge one has to suffer due to lost teeth and hence, he has dedicated his practice in providing ample services to restore the lost set of teeth using the latest advance in the field of Dentistry. 

Dental implants help to replace the missing teeth. There are several factors that are likely to lead us to the dilemma of tooth loss, and a research has led us to understand that the factors are due to ignorance of proper oral health care.

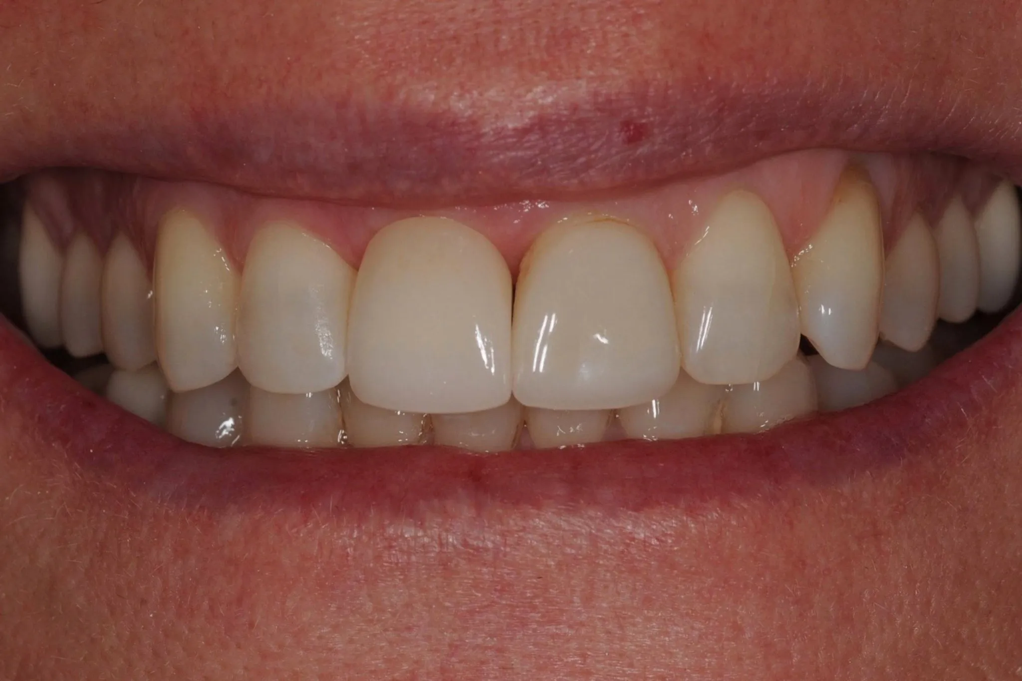
Before
After
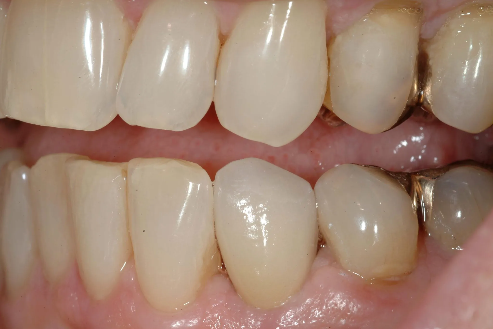
Before
After

What are the likely causes of tooth loss?

Let’s understand the primary reasons for tooth loss:

Dental cavities. Cavities tend to grow on the surface of the enamel due to the accumulation of bacteria, plaque, and tartar. As cavities grow over time, it can weaken the roots of the teeth leading to breakage, and in extreme cases, it can lead to loss of the tooth.

Periodontal disease. Tooth loss can also occur when the patient starts to suffer from the extreme cases of the Periodontal disease. Periodontal disease is a severe gum disease of the mouth. As bacteria accumulate in the sides of the gums, it, in turn, degrades its health. Infected gums can ultimately fall off weakening the roots of the teeth.

Root Canal Infection. It starts by infecting the inner pulp of the teeth. As the infection grows it damages the teeth from the inside leading to complete destruction of the teeth. This leads to tooth fall.

What can Dental Implants provide?

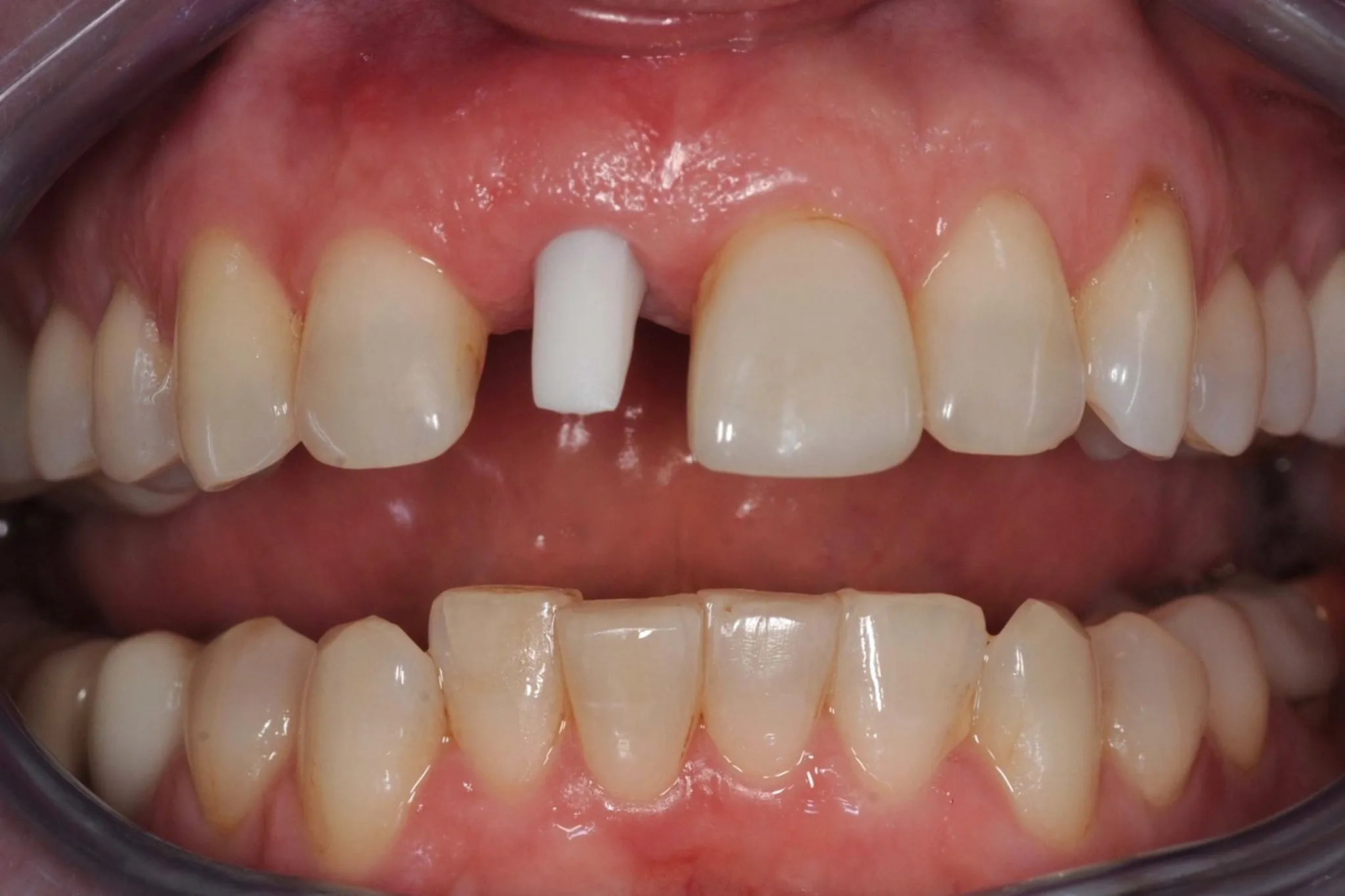
A dental implant will offer patients with an alternative solution to tooth loss by replacing the root with the help of an implant, by replacing the teeth with the help of a restoration such as crowns, and by providing an adhesive to hold them both in place with the help of an abutment. 

Dental implants offer an easy-to-insert option to restore missing teeth. Our practice is capable of offering patients with same day tooth replacements as well. 

What are the advantages of Dental Implants?

The primary goal of providing implants is to provide an artificial yet natural looking fixture in replacement of a lost tooth. There are several advantages of dental implants, and here are a few:

  • Implants provide durability.
  • They help in covering unnecessary spaces and gaps.
  • They will play a critical role in boosting one’s self-confidence.
  • Implants will improve and enhance the aesthetics of the teeth.
  • They will go a long way in improving the appearance of the smile.

What is the procedure for getting an implant?

Here is an outline of the procedure to get a dental implant:

  • Any procedure would begin by providing the patient with a mild sedation to offer precision in the results.
  • Your dentist will first remove any signs of tartar on the gums to provide space to insert the implant.
  • After inserting the implant, the patient can be given an option to either wait to insert the restoration or have it inserted above the implant on the same day. The restoration provided will be a temporary restoration.
  • Once the implant has been fully secured to the bones of the mouth after the healing period, the temporary restoration will be removed and the abutment will be placed above it. The abutment will serve as a durable connector to the implant and the permanent restoration.
  • After placing the abutment, the dentist will place the permanent restoration above it.

Location

668 Homer Avenue, Palo Alto, CA 94301

Phone: (650) 324-8360

Email: [email protected]

  • MON - THU: 7:00 am - 5:00 pm
  • FRI: 7:00 am - 4:00 pm
  • SAT - SUN: Closed
Contact Us